Uro-oncology is the important sub-speciality of urology, it deals with the diagnosis and treatments of tumours of genitourinary systems like prostate cancer, kidney, testicular, bladder cancer and penile cancer. Genitourinary cancers form an important part of urinary tract diseases. Recently an upward trend is seen in the incidence of cancers with the increasing trend of smoking, junk food and alcohol. Due to increased awareness among patients there are more number of patients under the operable category.

In the modern era of health care the onus is on us not just to treat the disease but to improve the quality of life of patients. In men, prostate cancer is very common cancer. Other cancers are bladder cancer, kidney cancer, testicular cancer, penile cancer, urethral and adrenal cancer. Now most of the genitourinary cancers can be treated by minimally invasive means like laparoscopy or endoscopy.

COMMON SYMPTOMS OF UROLOGICAL CANCERS:

  • Bladder cancer: Blood in urine, frequency and urgency

  • Kidney cancer: Often diagnosed early on imaging of the abdomen done other reasons such as routine health check-up. Sometimes blood in urine, flank pain seen in late course.

  • Prostate cancer: Often diagnosed early on imaging of the abdomen done other reasons such as routine health check-up. Sometimes blood in urine, flank pain seen in late course.

PROSTATE CANCER:

Prostate cancer is a common cancer in men. Early cancer may not cause any symptoms or the symptoms may be similar to those in a man with benign prostatic hypertrophy (BPH). Hence, the only way to diagnose this disease early is by getting an evaluation by a urologist. Digital rectal examination and a blood test known as serum PSA or prostate specific antigen may indicate the need for biopsy (histopathological examination prostatic tissue obtained by trans rectal ultrasound guided needle core biopsy). Biopsy is carried out by the urologist or radiologist under local anaesthesia on OPD basis. Men with confirmed cancer may need surgery, radiation therapy or medication depending upon stage of the disease. Radical prostatectomy is done for men with early cancer prostate who are otherwise fit and have life expectancy of 15 years.

BLADDER CANCER:

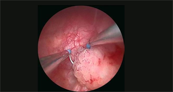
Bladder tumor is an important cause of blood in the urine after 40 years of age. Gross, painless hematuria is the primary symptom in 85% of patients with a newly diagnosed bladder tumor, and microscopic hematuria (red blood cells seen under microscope during routine examination of urine) occurs in virtually all patients more commonly seen in smokers. Most tumors are cancerous and are a form of urothelial carcinoma (previously known as transitional cell carcinoma). Because urothelial cancer is a cancer of the environment and age, the incidence and prevalence rates increase with age, peaking in the eighth decade of life, and there is a strong association between environmental toxins and urothelial cancer formation. Males are 3 to 4 times more likely to develop bladder cancer than females, presumably because of an increased prevalence of smoking and exposure to environmental toxins. These cancers can be classified as invasive or non-invasive, depending on whether they have involved the bladder muscle layer. Tumors that are non-invasive are less likely to become life-threatening but may need careful follow up since they have a strong tendency to recur. Tumors that invade muscle need more aggressive treatments such as bladder removal (radical cystectomy), radiation therapy with or without chemotherapy depending upon local staging. Radical cystectomy is the gold standard treatment for muscle invasive bladder cancer.

CYSTOSCOPIC VIEW OF BLADDER TUMOR

STAGING OF BLADDER CANCER

TUR OF BLADDER TUMOR

UROTHELIAL CANCER OF RENAL PELVIS /URETER:

Ureteric and renal pelvic tumors are an uncommon urological cancer. They are usually composed of transitional cell carcinoma (similar to the bladder) but the implications may be more serious. The most common presenting sign of upper tract urothelial tumors is hematuria (blood in urine) in 56% to 98% of patients, either gross or microscopic. Flank pain is the second most common symptom, occurring in 30% of patients, seen in patients with tumor at pelvi-ureteric junction or ureter. This pain is typically dull and believed to be secondary to a gradual onset of obstruction and hydronephrosis (swelling of kidney). Such tumors need to be removed at earliest by radical nephroureterectomy with excision of a bladder cuff, which is the gold standard for large, high-grade, suspected invasive tumors of the renal pelvis and proximal ureter. This can be easily and safely done by laparoscopic method by qualified urologist. These patient needs a regular and religious follow-up.

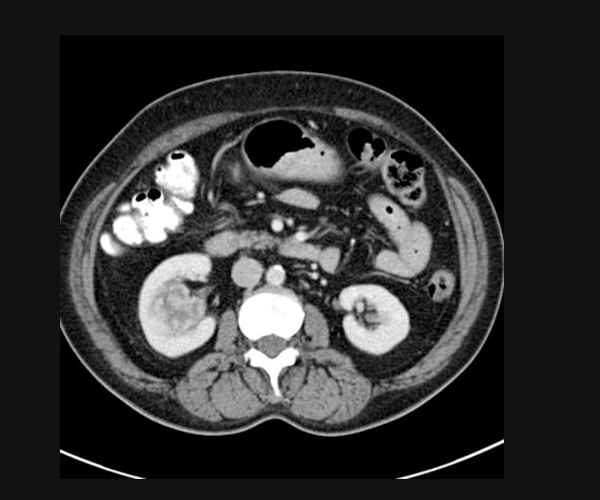
CT IMAGE SHOWING RIGHT RENAL PELVIC

KIDNEY CANCER

Renal cell carcinoma is the most common type of kidney cancer in adults, which accounts for about 90 percent of malignant tumors of the kidney & is the most lethal of the common urologic cancers. This begins in the cells of kidney. Other less common types of kidney cancer can occur. Young children are more likely to develop a particular type of kidney cancer called Wilms' tumor. Because of the location of the kidney within the retroperitoneum, many kidney masses remain asymptomatic and non-palpable until they are locally advanced. The incidence of kidney cancer seems to be increasing. With the more prevalent use of non-invasive imaging techniques such as computerized tomography (CT) scans for the evaluation of a variety of nonspecific symptoms, more than 60% of kidney cancers are now detected incidentally. In many cases, kidney cancer is found at an early stage, when the tumors are small and confined to the kidney, making them easier to treat.

TUMOR AT LOWER POLE OF RIGHT KIDNEY